30 Січня 2026, 15:16
image

Лікарі міської клініки № 10 в Одесі успішно виконали складну операцію, під час якої одночасно були прооперовані симптоми гострого мозкового інсульту та тромбоемболії легеневої артерії.

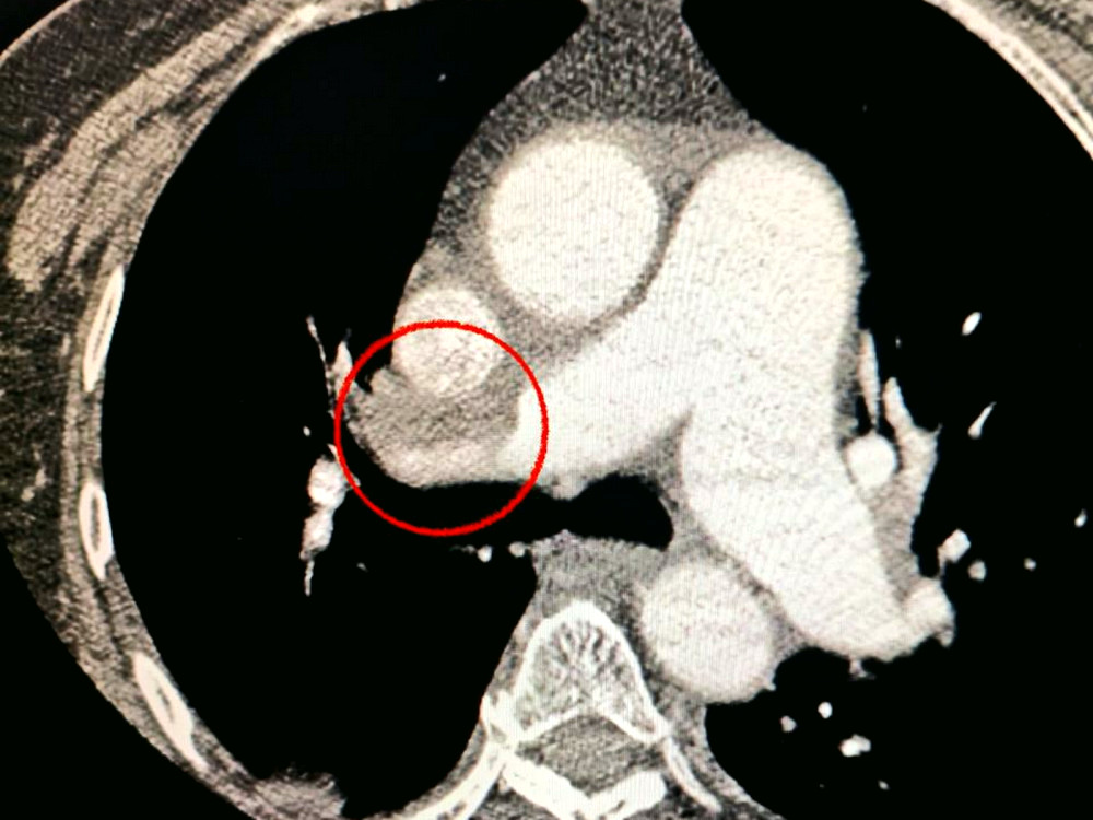
Пацієнтка, яка потрапила до лікарні з тяжким інсультом, під час комп'ютерної томографії отримала діагноз закриття середньої мозкової артерії.

Лікарі помітили також, що жінка має труднощі з диханням, тому провели додаткові дослідження легень, виявивши тромбоемболію.

Команда фахівців ухвалила рішення про проведення одночасної тромбектомії обох артерій, що стало критично важливим кроком.

Операція завершилась успіхом: пацієнтка почувається набагато краще, вона вже в свідомості та може рухати кінцівками.

Завдяки сучасним медичним технологіям та високому професіоналізму лікарів у клініці № 10, вдається рятувати життя та зберігати здоров'я пацієнтів.